구축 코구축 코란 코 수술 후 내부 조직이 수축하면서 코가 단단해지고 들려 보이는 현상을 말합니다. 심한 경우 ...

올바른 비중격만곡증 수술 궁금하세요? 혹시 부작용이 걱정되시나요? 비중격만곡증수술 고민, 삼성드림이비인후과에서 해결하세요.
삼성드림 비중격만곡증 수술은 안전합니다.
비중격 연골 절제를 최소화 하여 몸에 가해지는 부담을 줄였습니다.
삼성드림 비중격수술은 부작용을 줄여줍니다.
안장코, 비중격 천공과 같은 부작용 발생 확률을 낮췄습니다.
삼성드림 비중격수술은 자연스럽습니다.
과도한 연골 절제보다는 개개인에 맞는 자연스러운 교정을 실행합니다.
| 삼성드림 비중격만곡증 수술 | 구분 | 비중격 점막하 절제술 (일반적인 수술) |
|---|---|---|
| 비중격 최소 절제 + 비중격 모양까지 잡아줌 | 특징 | 비중격 절제술만 시행 |
| 비중격 연골 절제를 최소화 하여 몸에 가해지는 부담을 낮췄고, 개개인에 맞는 자연스러운 교정 | 수술방법 | 일반적인 방법의 비중격 절제 |
| 수술 성공률과 환자 만족도는 높여주고 부작용은 줄여줌 | 결과 | 기존 인식대로의 결과 (부작용과 재발 우려) |
부모 자식간의 유전 45% 부모님 유전자를 이어 받는 경우
분만 시 생기는 외상 30%
분만시 가해지는 압박으로
비중격 연골이 휘어짐
생활 속 외상 25%
코는 외부 충격에 쉽게 변형이 일어나
외부 충격으로 비중격이 휘는 경우가 많음
Q. 수술 시간이 얼마나 되나요?
A. 수술시간 20분 : 수술 시간은 약 20분 내외로 당일 퇴원이 가능합니다.
Q. 수술비가 부담스러워요.
A. 보험혜택 95% : 본원 기준 약 95% 환자는 수술비 80~90% 정도의 보험혜택을 받고 있습니다.
Q. 만족도는 높나요?
A. 후기 작성 비율20% (환자 11,735명 / 후기 2,347개), 불만 글 0.65% (환자 10,669명 / 불만 글 76개)
* 조사 : 2011년 ~ 2017년 삼성드림이비인후과 통계
실제 비중격만곡증 수술 환자의 수술 과정을 통해 살펴보겠습니다.



수술 후 병원 오는 날 / 주의 사항
| 기간 | 환자 주의사항 | 병원 방문 | 행동사항 |
|---|---|---|---|
| 1-3일 | 1-2일 출혈이 있으니 수술부위를 심장보다 높게 함 |
· 구강호흡 · 격한 야외활동 자제 |
|
| 1-3일 간혹 두통을 느낌 (시간 지나면 사라짐) |
2-3일 거즈 제거 | ||
| 1주 |
경과 확인차 내원 (환자 상황에 따라 일정 조절 가능) · 보통 첫주는 2-3일 간격으로 2-3회 내원 · 이후 1주일 간격으로 3-4회 추가 내원 |
· 격한 야외활동 자제 · 식염수로 코 세척 |
|
| 3주 | 완벽히 회복되는 시기 | ||
| 4주 | · 식염수로 코 세척 | ||
| 6주 | 1-3일 간혹 두통을 느낌 (시간 지나면 사라짐) |

마취시 통증
수술전 마취하는 과정에서의 통증으로, 오랜만에 치과에서 스켈링 받는 수준의 고통
수술 중 통증
마취 영향으로 큰 고통은 없으나 수술 받는다는 두려움이 있음
수술 후 코막힘의 괴로움
수술 후 출혈방지 목적으로 코 속을 거즈로 막음, 2,300개의 후기에 기록된 환자들이 말하는 삼성드림이비인후과의 특징
코는 한번의 수술로 기능 개선과 성형이 가능합니다.
특히 비중격만곡증수술을 하면서 나오는 비중격 연골은 코 교정을 할 때 최고의 코 성형 재료가 됩니다.
서울의 4개 지점 (노원, 강남,삼성,종로), 일산 1개 지점,인천 1개 지점
6개 지점 어디서든 똑같은 서비스를 받을 수 있습니다.
재발율이 높다고 알려진 코 수술.
삼성드림이비인후과에서는 높은 수술 성공율 자신하여 한번 수술 받은 질환에 대해서 평생을 보장 해주는 서비스를실시 합니다.(비염, 축농증 수술만 해당 됨)

이 글은 강남삼성드림이비인후과 신일호 원장님이 알레르기 비염에 대해서 쓰신 글입니다.
알레르기 비염은 재채기, 콧물, 코막힘, 가려움증의 증상을 보이는 코안 점막의 염증성 질환입니다.
알레르기 질환은 유전성이 강해서 부모 중 한쪽만 알레르기가 있어도 자녀가 알레르기 질환에
걸릴 가능성이 50% 정도로 알려저 있습니다.

진단은 환자의 증상을 잘 청취하고 비내시경 검사로 코안 점막의 상태를 보고
최종적으로 피부반응검사나 MAST 라고 하는 혈액 검사로 확진을 하게 됩니다.
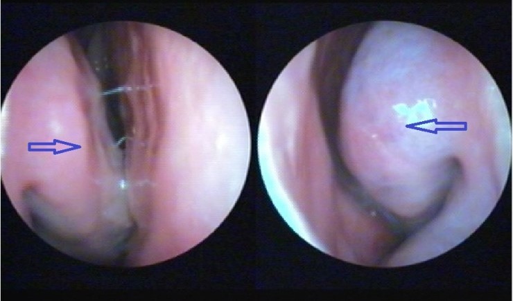
비내시경 검사상 하비갑개 점막(파란 화살표)이 부어있고 점액성 콧물이 고여있습니다.
동일 환자의 CT로 비중격 만곡(빨간 화살표)가 하비갑개의 비후(파란 화살표) 소견이 보입니다.
가장 많은 원인 물질은 집먼지 진드기와 개나 고양이 등이 많습니다.
환절기에 비염이 심해지면 처방전 없이 사는 스프레이 제재(오트리빈 스프레이, 화이투벤 스프레이)를 많이 사용하는데
이는 혈관 수축제로 신속하게 코막힘을 해결해주는 장점이 있지만
장기간 사용하게 되면 다른 비염약물에 반응을 하지 않는 약물성 비염이 올수도 있어
각별한 주의가 필요합니다.
현재까지 알레르기 비염의 치료는 완치 보다는 증상 조절 위주의 치료가 대부분으로
약물치료, 수술, 면역 치료 등이 있습니다.
약물은 스테로이드 스프레이와 항히스타민제, 혈관수축제, 스테로이드제 복용약들이 있는데
약물 치료 기간이 점점 길어지고 약물의 효과가 떨어지면 수술적 치료를 고려해볼수 있습니다.
수술은 고주파를 이용해서 하비갑개의 부피를 감소시켜 코막힘을 개선하고 콧물을 줄일수 있습니다.
흔히 비염수술 후 재발이 많다고 하는것은 수술이 알레르기 자체를 고치는 것이 아니고
알레르기에 의해 코 점막이 부은것을 줄이는 것이므로 수술후 어느정도의 시간이
경과하면서 알레르기 반응에 의해 다시 점막이 붓게 되기 때문입니다.
이런 부분을 보완하기 위해 본인의 알레르기 원인 물질을 알고 피하는 회피 요법,
코안에 들어오는 원인 물질을 씻어내는 식염수 코세척, 증상이 심할때 약물 요법등으로
최대한 재발을 늦추고 다시 증상이 심해질때 고주파 수술을 다시 시행하는것을 고려할수 있습니다.
예전에는 이런 비염의 재발을 막기위해 하비갑개를 많이 잘라버리는 하비갑개 절제술을 하기도 하였습니다.
하비갑개가 미세먼지, 바이러스 등으로 부터 기관지와 폐를 보호하는 필터, 가습기 같은 중요한 기능이 있는데
이를 제거하면 이런 순기능도 없어지게 됩니다.
그래서 재발율이 하비갑개절제술보다는 고주파가 더 높지만 주로 고주파 비염수술을 시행하고 있습니다.
비염수술에 대해서 문의사항이나 더 궁금하신 점이 있으시다면 아래 배너를 클릭해주세요^^
구축 코구축 코란 코 수술 후 내부 조직이 수축하면서 코가 단단해지고 들려 보이는 현상을 말합니다. 심한 경우 ...
코성형은 외형을 개선할 뿐만 아니라 호흡 기능과 구조적인 안정성에도 영향을 미치는 중요한 수술입니다.하지만 첫 수술...
첫 코 성형 후 기대했던 모습과 다르다면, 재수술을 고민하는 것이 당연합니다. 하지만 모든 재수술이 반드시 만...
코막힘과 콧물이 지속될 때, 단순 감기로 넘겨버리는 경우가 많습니다. 하지만 감기인 줄 알았던 증상이 급성 부비...
코뼈 골절(비골 골절)은 코에 강한 충격이 가해졌을 때 발생하는 흔한 얼굴 골절 중 하나입니다.겉으로는 단순히 ...
코뼈 골절은 즉시 치료하지 않으면 휜코, 매부리코로 변형될 수 있습니다.특히 골절 후 2주 내 치료가 필수적이며, 방치...
축농증이란?축농증은 의학적으로 부비동염이라고 하며, 코 주변에 위치한 부비동이라는 공간에 염증이 생기는 질환입니다...
코뼈 골절 증상 및 응급처치얼굴 중심에 위치하고 돌출된 코는 외부 충격에 취약하여 골절 사고가 빈번하게 발생합니다....
삼성드림이비인후과의 누적된 데이터로 비중격만곡증을 분석합니다.