모든 매부리코성형에서 매부리 부분을 깎을 필요는 없습니다.그러나 아래 3가지 유형에 해당된다면, 매부리를 충분...

올바른 비중격만곡증 수술 궁금하세요? 혹시 부작용이 걱정되시나요? 비중격만곡증수술 고민, 삼성드림이비인후과에서 해결하세요.
삼성드림 비중격만곡증 수술은 안전합니다.
비중격 연골 절제를 최소화 하여 몸에 가해지는 부담을 줄였습니다.
삼성드림 비중격수술은 부작용을 줄여줍니다.
안장코, 비중격 천공과 같은 부작용 발생 확률을 낮췄습니다.
삼성드림 비중격수술은 자연스럽습니다.
과도한 연골 절제보다는 개개인에 맞는 자연스러운 교정을 실행합니다.
| 삼성드림 비중격만곡증 수술 | 구분 | 비중격 점막하 절제술 (일반적인 수술) |
|---|---|---|
| 비중격 최소 절제 + 비중격 모양까지 잡아줌 | 특징 | 비중격 절제술만 시행 |
| 비중격 연골 절제를 최소화 하여 몸에 가해지는 부담을 낮췄고, 개개인에 맞는 자연스러운 교정 | 수술방법 | 일반적인 방법의 비중격 절제 |
| 수술 성공률과 환자 만족도는 높여주고 부작용은 줄여줌 | 결과 | 기존 인식대로의 결과 (부작용과 재발 우려) |
부모 자식간의 유전 45% 부모님 유전자를 이어 받는 경우
분만 시 생기는 외상 30%
분만시 가해지는 압박으로
비중격 연골이 휘어짐
생활 속 외상 25%
코는 외부 충격에 쉽게 변형이 일어나
외부 충격으로 비중격이 휘는 경우가 많음
Q. 수술 시간이 얼마나 되나요?
A. 수술시간 20분 : 수술 시간은 약 20분 내외로 당일 퇴원이 가능합니다.
Q. 수술비가 부담스러워요.
A. 보험혜택 95% : 본원 기준 약 95% 환자는 수술비 80~90% 정도의 보험혜택을 받고 있습니다.
Q. 만족도는 높나요?
A. 후기 작성 비율20% (환자 11,735명 / 후기 2,347개), 불만 글 0.65% (환자 10,669명 / 불만 글 76개)
* 조사 : 2011년 ~ 2017년 삼성드림이비인후과 통계
실제 비중격만곡증 수술 환자의 수술 과정을 통해 살펴보겠습니다.



수술 후 병원 오는 날 / 주의 사항
| 기간 | 환자 주의사항 | 병원 방문 | 행동사항 |
|---|---|---|---|
| 1-3일 | 1-2일 출혈이 있으니 수술부위를 심장보다 높게 함 |
· 구강호흡 · 격한 야외활동 자제 |
|
| 1-3일 간혹 두통을 느낌 (시간 지나면 사라짐) |
2-3일 거즈 제거 | ||
| 1주 |
경과 확인차 내원 (환자 상황에 따라 일정 조절 가능) · 보통 첫주는 2-3일 간격으로 2-3회 내원 · 이후 1주일 간격으로 3-4회 추가 내원 |
· 격한 야외활동 자제 · 식염수로 코 세척 |
|
| 3주 | 완벽히 회복되는 시기 | ||
| 4주 | · 식염수로 코 세척 | ||
| 6주 | 1-3일 간혹 두통을 느낌 (시간 지나면 사라짐) |

마취시 통증
수술전 마취하는 과정에서의 통증으로, 오랜만에 치과에서 스켈링 받는 수준의 고통
수술 중 통증
마취 영향으로 큰 고통은 없으나 수술 받는다는 두려움이 있음
수술 후 코막힘의 괴로움
수술 후 출혈방지 목적으로 코 속을 거즈로 막음, 2,300개의 후기에 기록된 환자들이 말하는 삼성드림이비인후과의 특징
코는 한번의 수술로 기능 개선과 성형이 가능합니다.
특히 비중격만곡증수술을 하면서 나오는 비중격 연골은 코 교정을 할 때 최고의 코 성형 재료가 됩니다.
서울의 4개 지점 (노원, 강남,삼성,종로), 일산 1개 지점,인천 1개 지점
6개 지점 어디서든 똑같은 서비스를 받을 수 있습니다.
재발율이 높다고 알려진 코 수술.
삼성드림이비인후과에서는 높은 수술 성공율 자신하여 한번 수술 받은 질환에 대해서 평생을 보장 해주는 서비스를실시 합니다.(비염, 축농증 수술만 해당 됨)

비중격만곡증 자가진단, 생각보다 간단합니다.
비중격이 어느 방향으로 휘어 있는지, 공기 흐름이 좌우로 다르게 느껴지는지만
확인해도 초기 판단에 도움이 됩니다.
전문 장비 없이도 집에서 간단하게 비중격만곡증 여부를 추측해볼 수 있습니다. 다만, 비중격만곡증 자가진단은 어디까지나 의심 단계일 뿐이며, 정확한 진단을
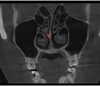
위해서는 이비인후과에서 시행하는 내시경 검사와 CT 촬영이 반드시 필요합니다.
비중격만곡은 우리나라 사람 중 70~80%에게 나타나는
매우 흔한 구조적 특징입니다.
대부분 일상생활에 큰 불편이 없지만, 연골이 과하게 휘어진 경우 코막힘, 비염, 두통 등 다양한 증상을 유발할 수 있습니다.
이처럼 비중격만곡으로 삶의 질이 떨어져 치료가 필요한 상태를 “비중격만곡증”이라고 부릅니다.
비중격은 구조(연골) 자체가
휘어진 것이기 때문에 약물 치료로 바로잡을 수 없습니다. 또한 손으로 밀거나 외부 압력으로 교정하는
방법은 오히려 점막 손상, 괴사를 유발할 수 있습니다.
따라서, 정확한 비중격 교정 후 단단한 고정이 필요합니다.
비중격만곡증 자가진단

이 동작은 흔히 코틀검사법(Cottle Test)으로 불리며, 대표적인 비중격만곡증 자가진단 방법입니다.
당기는 순간 공기의 흐름이 원활해지고 숨쉬기가 편해지는 느낌이 있다면 비중격만곡증을 의심해 볼 수
있습니다.
⑵ 콧구멍 올려다 보기
거울 앞에서 콧구멍을 위로 올려봤을 때 좌우 비대칭이 심하거나 가운데 연골이 한쪽으로 튀어나와 있을 경우
비중격만곡증을 의심해볼 수 있습니다.

⑶ 코뼈, 연골 확인하기
정면에서 코를 만져보면 위쪽 부분은 딱딱한 뼈, 아래쪽은 연골로 구성되어 있습니다.
이때, 연골 부위가 중앙에 있지 않고 어느 한쪽으로 휘어져 있다면, 비중격만곡증을 의심해볼 수 있습니다.
외형상 코가 비대칭으로 보이는 경우도 자주 동반됩니다.

모든 매부리코성형에서 매부리 부분을 깎을 필요는 없습니다.그러나 아래 3가지 유형에 해당된다면, 매부리를 충분...
낮은코성형을 계획할 때 많은 분들이 콧대 높이와 코끝 모양만을 떠올립니다.하지만 실제로 낮은코를 가진 환자 중 상당...
휜코는 코뼈나 비중격(코 중앙 연골)이 한쪽으로 치우치면서 모양이 비대칭이 되는 상태입니다.겉모양뿐 아니라,...
코성형을 고민할 때 가장 먼저 떠오르는 걱정은 '수술한 티가 나지 않을까?' 하는 점입니다. 특히 코 기둥(비주)에 남을 ...
'알레르기 비염'이 있다면 한 번쯤 이런 고민을 해보셨을 겁니다."알레르기 비염이 있는데 강아지나 고양이를 키워도 괜...
비염 코막힘과 콧물은 많은 사람들이 반복적으로 겪는 증상이지만, 원인에 따라 치료 방법이 크게 달라집니다.비염인지, ...
과거에는 기능(치료)과 미용(성형)을 분리해서 생각하는 경향이 강했으나, 최근 현대 의학에선 이 두 ...
비밸브협착증과 비염차이, 약을 먹어도 코막힘이 안 낫는 이유코막힘이 오래 지속되면 대부분 비염 때문인가, 하고 생각...
삼성드림이비인후과의 누적된 데이터로 비중격만곡증을 분석합니다.