지금은 전화 상담이 어렵습니다. 연락처 남겨주시면, 확인 후 연락 드리겠습니다.

  • 이름  
  • 연락처  
  • [보기]

HOME  >  원스텝코성형  >  안장코

삼성드림의
원스텝 안장코 성형

안장코 성형과 코기능 회복을 한번에

굴곡진 내코 이제 고민하지 말고삼성드림이비인후과에서 교정하세요.

  • 안장코 전사진
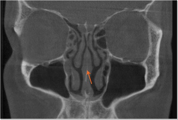
  • 비중격만곡증 비정상
  1. 01

    수술 전 철저한 분석으로 코의 외적인 부분(안장코)뿐만 아니라 코의 기능(비중격만곡증, 비염, 축농증 등)도 생각한 수술

  2. 02

    인공 보형물의 사용을 최대한 줄이고 자가연골 특히 비중격 연골을 이용하여 기존 수술의 부작용을 줄이고 아름다우면서 자연스러운 결과 도출

  3. 03

    단순히 콧대만 높이는 수술이 아닌 얼굴형과 어울리는 자연스러운 코성형

삼성드림의 원스텝 안장코 성형 사례

코의 겉모양
Before After
Before After
코의 내부구조
약해진 비중격
이전 수술로 약해진 코

수술 전후사진

이전의 비중격 수술로 인하여 비중격이 없어 부득이 귀연골로 코 끝을 만듦
절골술 등을 이용하여 콧등을 바르게 펴고 고어텍스로 마무리 함

Before After
Before After

온라인상담

닫기
전화상담
[보기]

비급여 의료 수가표

  • ※ 전지점 통합 비급여수가표로 각 지점별로 일부 항목이 없거나 상한금액의 차이가 있을 수 있습니다.
      (단, 상기 상한금액을 초과하지 않습니다.)
  • ※ 수술 종류와 갯수에 따라 시행 횟수 및 금액 차이가 있을 수 있으니 참고 부탁드립니다.
  • ※ 각 지점별 세부항목은 안내데스크에 별도로 비치되어 있으니 방문시 참고하시길 바랍니다.
레이어팝업닫기

성형 수술 계약금에 대한 반환 기준

레이어팝업닫기
연락처를 남겨주시면
- -
익일 오전중으로 연락 드리겠습니다.
*단, 주말, 공휴일 제외